呼吸外科纯化
问候
对患者和那个家族
欢迎光临了呼吸外科纯化的主页。
当自己或者亲属做肺的手术的时候,有什么不知道,不安的事情很多吧。
先和各位一起治疗,然后关于想一定知道的说吧。
有关部门,2007年开院呼吸外科纯化专门医生当初更全职工作,正治疗用2名专门地工作人员现在。
被作为日本呼吸外科纯化学会,日本呼吸器内窥镜学会的基干设施学会批准。
因为对各位接受最佳的治疗,有我们能有的所有的技术和知识,在治疗正确放心所以,请受到治疗。
然而,有关部门是庆应义塾大学医院的呼吸外科纯化的相关设施。
对请介绍患者的老师一方
自日常起给我特别的高配,衷心感谢。
济纯朴的会横滨市东部医院国会开会,今年到第18年。迄今为止和前呼吸器中心长、现院长辅助的青木輝浩先生,呼吸器内科的老师一方一起构筑横滨市东部地区的呼吸道疾病的急性期治疗、癌症治疗治疗体制了。非常感谢你向老师一方介绍许多的患者。 在这家医院,呼吸器内科、呼吸外科纯化的2诊疗科合作,正用联合作为呼吸器中心稠密地治疗。在呼吸器中心conference决定治疗计划了之后况且正对肺癌、纵隔性肿瘤、气胸、脓胸等的手术对象疾病进行外科治疗。另外,发挥综合性医院的功能,心血管疾病以及糖尿病,晚期肾机能不全正整理也能和有并存疾病的患者对应的万全的体制。
为了在呼吸器中心,能提供比以前更加的医疗变成组群,治疗,放心,介绍患者,为老师一方努力。
今后祈祷老师一方的越来越发展为了被赐予不变化的厚友谊,与此同时务必请求帮助。
呼吸外科纯化
在呼吸外科纯化,正针对胸的疾病,肺的疾病,支气管的疾病,纵隔的疾病进行专业性的诊疗。一边充分给第一次的在作为"纯朴的济会"的济纯朴的会神奈川县医院(这家医院的前身)培养的知识在日本留条活命,一边为胸腔镜笨拙方法(VATS)的普及不仅传统的胸廓切开术手术而且努力,是时间点,并且胸腔镜笨拙方法病症样例数在2024年4月超出3,500个例子了总计。
自2020年9月起开始纵隔性肿瘤和对肺恶性肿瘤的机器人手术了之后有关部门是正在2024年4月之前实施超过250件累计,约一年100件机器人手术的国内领先的设施。
自2024年4月起开始在2-3cm的在一个创伤进行的单孔式胸腔镜方面很差的方法了。
在呼吸外科纯化检查的疾病
肺癌,肺部转移肿瘤,肺良性肿瘤,气胸,纵隔性肿瘤,脓胸,胸膜炎
肺癌手术
当肺癌的手术的时候,综合从"出现癌的部位以及扩展"判断是"是患者的全身状态,健康",选择"技术"就是说切除范围和接近(在胸里到达的方法、创伤的大小)。那个时候以以下的优先权决定技术。
①因为切除癌所以"治愈"
②外科手术以后,能够肺的"保存功能"
③好像手术的痛疼变得小外科治疗在"低速侵袭"
对肺癌的标准的手术(标准的切除范围)是切除包括肿瘤的肺叶的"肺叶切除"。可能有,另一方面,近年来作为增加倾向的高龄的推荐也使切除范围变得小比肺叶切除针对患者以及合并症有的患者,被用健康检查的体检发现的小型肺癌的患者的"节段切除"以及"部分切除"的事情。
在在有关部门的接近(在胸里到达的方法、创伤的大小),主要有以下的3个。
❶在从6在7厘米的小胸廓切开术+胸腔镜结合下边进行的胸腔镜补助方面很差的方法(hybrid VATS)
❷在用1-3个4厘米的港口从1进行的完全的胸腔镜方面很差的方法(在一个港口的情况下,叫做在单孔式胸腔镜方面很差的方法)
❸在用5个2厘米的港口从1进行的机器人支援胸腔镜方面很差的方法(从达·芬奇手术,2020年起开始)
现在正在机器人或者完全的胸腔镜下边进行大多数的手术。在手术实施的情况下,和负责在计策之中的脱敏作用的麻醉学的老师合作,为了尽可能小地完成手术后的的痛疼努力。
有关部门的特征手术之后的住院期间短。
在机器人手术,特别在完美方面发挥可以细致,复杂的操纵的机器人的强大,因为使始自于作为住院期间延长的最大主要原因的肺的漏空气(術後気漏)减少所以正无勉强而实现早期出院。 住院期间,能手术以后用国内最短水准在1-3天普通出院。(下图参照)。
对原发肺癌,更加详细请看肺癌解说的页。(到肺癌解说的页)


纵隔性肿瘤
和纵隔
纵隔指向心脏,大血管,气管支气管,食道,胸腺等的内脏器官存在于在被左右的肺夹入的空间的地方。
把在纵隔里发生的肿瘤叫做纵隔性肿瘤。
在神经以及淋巴组织在之前在在上方的纵隔,在背后的的方法支气管以及心包囊在里面的的方法胸腺以及淋巴结有神经以及食道。
肿瘤由在纵隔里存在的各种各样的内脏器官产生。总结称呼从在纵隔的内脏器官发生的肿瘤为纵隔性肿瘤。
性格各种各样,并且含有各种各样的疾病。如果如果在胸腺上出现肿瘤的话,"胸腺瘤"以及"胸腺癌",囊肿完成的话,和"胸腺囊肿"成为。
纵隔性肿瘤有恶性的东西和良性的东西。胸腺囊肿,支气管囊肿,心包囊等的囊肿性病变是良性疾患。畸胎瘤以外的胚细胞性胸腺癌,胸腺类癌,肿瘤,淋巴肿瘤是恶性肿瘤。
频度最高的纵隔性肿瘤的胸腺瘤可能表示对邻接器官的浸润,被作为中间癌肿瘤使用。
当大约半数用无症状信检查体格检查以及其他疾病的时候纵隔性肿瘤偶然被发现不稀奇。
另外,可能有假瘫痪性重症肌无力对胸腺瘤被怀疑的的约20-30%合并的事情。胸腺瘤是没有的,但是胸腺切除术手术可能让改善症状,可能有作为假瘫痪性重症肌无力的治疗进行胸腺摘出术的事情。
诊断
为估价肿瘤的正确的位置以及性格,对周围内脏器官的浸润的存在进行CT,MRI,PET-CT检查。
纵隔性肿瘤,为了附上确定诊断,用显微镜看肿瘤组织有必要由于能从各种各样的内脏器官发生的肿瘤。称呼为活组织检查为诊断采集组织的,有一边用CT透视,一边用针采集组织的方法。在做活组织检查难的地方有肿瘤的时候等兼任诊断和治疗,切除肿瘤的手术被推荐。
治疗
是港口大多数用3-4个港口进行的机器人手术或者2-4cm左右中的一个,并且是进行的单孔式胸腔镜笨拙方法,并且正进行对这家医院的纵隔性肿瘤的手术。优点手术后的的恢复早,并且普通能手术以后在1-2天出院。
但是,伤的位置以及大小用肿瘤的地方以及尺寸,与周围的关系决定,可能有进行用胸骨正中切开术的胸廓切开术手术的事情。
气胸
原因
气胸,空气从肺根据某种原因漏出来,是肺枯萎的疾病。
称呼明白的原因而感到懊悔的发生的气胸为自发性气胸。其次对60几岁对20岁左右多量好好发生自发性气胸。
年轻的患者的特征是男性、长叶片、瘦长型。正可以考虑因为对体质而言遮盖着肺的表面的胸膜弱所以发病。另一方面,在吸烟者在高龄的患者的情况下在营养状态不好的多量发生。高龄,因为肺的状态本来不好所以,需要时间在治疗,气胸治疗以后再次发生的不少。
女性特有的原因
有在女性的自发性气胸方面在月经周期获得一致,气胸发生的"月经相伴气胸"这个气胸。子宫内膜对胸膜完成,是根据月经唤醒气胸的疾病。根据气胸的程度以及复发的次数,选择疗法。有伴随罕见的疾病的肺脉管肌瘤症(LAM)的东西。因为原来的疾病的治疗困难所以粘连疗法针对气胸进行变得是常有的事。
症状
是突然地出现的胸痛,快要窒息,咳嗽。症状的强度根据肺正枯萎的程度以及患者各种各样。
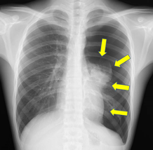
用线照片的肺的枯萎,根据状态,如下给气胸的程度分类。
轻微气胸:顶端面积(肺的第一名上的部分)也比锁骨的高度是在上边的状态。
中度气胸:肺尖部也比锁骨低的状态。轻微和高度的中间程度。
高度的气胸:肺完全枯萎或者离那个近的状态。
根据程度以及症状想疗法,但是从轻微的渐渐进行,
可能变成"张力性气胸"这个病得重的状态。在,为此,看上去好的,也可能被推荐住院。
治疗
气胸的治疗根据那个严重性以及过程有如下治疗方法。
1. 静养,看样子
2. 用针打穿空气(排气)
3. 把管子放入胸(胸腔泄水的拘留)
4. 手术
在轻微的情况下,能做在不卧床的随诊。在中度~高度的情况下,胸腔导液法是必要的。
和胸腔导液法,局部麻醉把泄水这个直径6-7mm的管下面在胸里放进去,是在身体的外面拿出累积的空气的治疗。使枯萎的肺膨胀,等洞孔自然堵塞。但是,在成为漏空气的原因的部分再次有洞孔的多,并且复发率被称呼为30-50%。在在漏空气不很停止的时候自发性气胸正超过再次在那里再次发生的时候,在,另外,尽量想避免气胸的复发的时候选择手术。


关于手术
用气胸的手术,堵住全身麻醉下面作为气胸的原因的洞孔。洞孔的塞法有拿完整切除自动缝合器这个洞孔用机械性地开的大泡的方法倾向,但是有是线,并且把洞孔的周围的肺组织捆起来,堵住的方法。在近年来是在港口2cm左右中的一个进行大多数的手术的单孔式胸腔镜笨拙方法,并且正进行,但是成为的原因的大泡的地方难懂的情况以及胸腔里面的粘连强大的时候,可能有转移到3-4个的胸腔镜笨拙方法以及胸廓切开术手术在港口的事情。在可以考虑复发的可能性很大的时候,追加张贴加强肺的表面的座席的预防治疗。手术后,能在1-2天普通出院。
治疗实际成果
手术实际成果
正进行肺癌,肺部转移肿瘤,纵隔性肿瘤,气胸,其他的胸部疾病的外科治疗。
2023年度的手术总数是176件。
关于手术等待期间
这家医院的手术等待期间是1-2个星期。以肺癌代表的恶性肿瘤正诊断以后迅速进行外科手术。
手术件数

机器人支援手术件数

手术费用
关于住院费用
好像关于受到肺癌手术时候的费用是下列。
技术"肺叶切除"
平均的住院日数:4日
医疗费总额:1,691,700日元
患者的自己负担金额
• 在3成负担的情况下507,600日元
• 在2成负担的情况下338,400日元
• 在1成负担的情况下169,200日元
技术"部分切除"(楔形切除)
平均的住院日数:3日
医疗费总额:1,270,400日元
患者的自己负担金额
• 在3成负担的情况下381,200日元
• 在2成负担的情况下254,100日元
• 在1成负担的情况下127,100日元
好像关于受到气胸手术时候的费用是下列。
技术"肺囊胞剥离手术"(肺部分切除)
平均的住院日数:3日
医疗费总额:1,270,400日元
患者的自己负担金额
• 在3成负担的情况下381,200日元
• 在2成负担的情况下254,100日元
• 在1成负担的情况下127,100日元
请最终注意作为一般的金额的。
上述金额没包括用餐费,差额床费,睡衣费。
关于这家医院的收费的包房、收费床铺,请看住院的向导(包房费用)。差额床费因为是健康保险的对象外所以变成患者的全额自己负担。
要住院费的支付initsuiteogo覧。
各种信用卡除了现金以外用自动细算机可以使用。
另外,对住院请看这家医院的"住院的向导"。
关于钱的咨询的负责窗口
各种咨询的窗口好像是下列。
接受癌的治疗,对keruuedeno不安以及烦恼,疗养生活以及工作的事配有本人以及家族,随便商谈,设置咨询支援窗口医疗社会工业者课题解决的正帮助。
手术动画

用10mm~20mm四面八方的纸在达·芬奇折断的鹤。
重复训练的医生(井上芳正)在只有的15分左右完成。
达·芬奇的钳为也比人类的手有大的运动范围更复杂
使小的活动成为可能。
| [2025/6/2公开]NEW! | |
| 定期练习_模拟器训练,Three arm relay 2&3(Xi)2025-05-31 | |
| 操纵者:呼吸器外科井上芳正 | |
| 视听时间:13:08 |
| [2025/5/27公开]NEW! | |
| 定期练习_模拟器训练_Narrow cavity(Right,Combo,Left) | |
| 操纵者:呼吸器外科井上芳正 | |
| 视听时间:12:22 |
| [2022/10/11公开] | |
| 肺癌治疗的新的潮流-机器人手术- ※得以医学协会的老师为对象,在2022年6月讲演的内容。包括手术中的影像以及受伤区的图片。 |
|
| 演讲人:呼吸器外科井上芳正 | |
| 视听时间:30:19 |
| [2022/5/25公开] | |
| 定期练习_纸折仙鹤(1cm四面八方) | |
| 操纵者:呼吸器外科井上芳正 | |
| 视听时间:10:50 |
| [2022/5/18公开] | |
| 定期练习_模拟器训练_3 arm relay | |
| 操纵者:呼吸器外科井上芳正 | |
| 视听时间:13:17 |
| [2022/5/11公开] | |
| 定期练习_菖蒲(2cm四面八方) | |
| 操纵者:呼吸器外科井上芳正 | |
| 视听时间:10:16 |
| [2022/4/27公开] | |
| 定期练习_纸折仙鹤(1.5cm四面八方) | |
| 操纵者:呼吸器外科井上芳正 | |
| 视听时间:12:28 |
| [2022/4/20公开] | |
| 基础练习_纳米块组装 | |
| 操纵者:呼吸器外科井上芳正 | |
| 视听时间:11:34 |
| [2022/4/13公开] | |
| 定期练习_纸折仙鹤(2cm四面八方) | |
| 操纵者:呼吸器外科井上芳正 | |
| 视听时间:10:16 |
工作人员介绍
|
呼吸器中心长 |
专业领域 |
|
呼吸外科纯化 |
|
|
特别正作为专业的领域 |
|
|
肺癌,自发性气胸,纵隔性肿瘤,对脓胸的胸腔镜下边手术,对肺癌、 |
|
|
学会专门医生、认定医 |
|
|
日本呼吸外科纯化学会呼吸外科纯化专门医生 |
|
|
主任医师 |
专业领域 |
|
呼吸外科纯化 |
|
|
学会专门医生、认定医 |
|
| (制作中的) | |
|
特别任务院长辅助 |
专业领域 |
|
呼吸外科纯化 |
|
|
特别正作为专业的领域 |
|
|
在对肺癌,自发性气胸,纵隔性肿瘤,脓胸的胸腔镜方面很差的方法 |
|
|
学会专门医生、认定医 |
|
|
呼吸外科纯化专门医生 |

